Anterior Esthetic and Functional Rehabilitation with Maxillary Fixed Prosthesis

Prosthodontics
04 April 2024
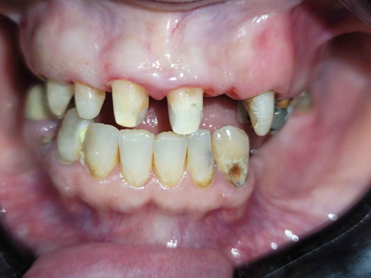
Initial stage - badly destructed anterior teeth with a failing bridge.

Initial stage - badly destructed anterior teeth with a failing bridge.

Preparation stage - view of the anterior abutment teeth following preparation, highlighting the final marginal finish line.

Preparation stage - view of the anterior abutment teeth following preparation, highlighting the final marginal finish line.

Final anterior crowns in place, restoring esthetics and smile harmony.

Final anterior crowns in place, restoring esthetics and smile harmony.

1 / 3

Introduction

The patient presented with compromised esthetics and function in the maxillary anterior quadrant. The chief complaint was the poor appearance of existing heavily restored teeth, discoloration, and worn incisal edges. The treatment plan was focused on a full-coverage fixed restoration to achieve a stable and attractive result.

Clinical Procedure

  1. Initial Examination: preoperative findings shows the maxillary anterior teeth requiring restoration. There was a failing bridge on the upper central incisors and left lateral as well as severely destructed left canine and right lateral.

  2. Tooth Preparation: in the mouth prep stage, a RCT was done on the upper left canine as well as upper right lateral. Fiber posts were placed to achieve better retention. The old bridge was removed and the abutments were polished to achieve a better impression

  3. Final Prosthesis / Restoration: The final crowns/bridge were fabricated to achieve optimal shade, contour, and gingival integration. The restoration seamlessly replaces the maxillary anterior teeth, establishing an ideal incisal edge position and improving the overall smile line.

Outcome

The patient achieved a dramatic improvement in esthetics, resulting in a natural, bright, and symmetrical smile. Functional concerns, such as incisal guidance, were restored, leading to enhanced self-confidence and patient satisfaction.