Endodontic Retreatment of an Inadequately Obturated U6.

Endodontics
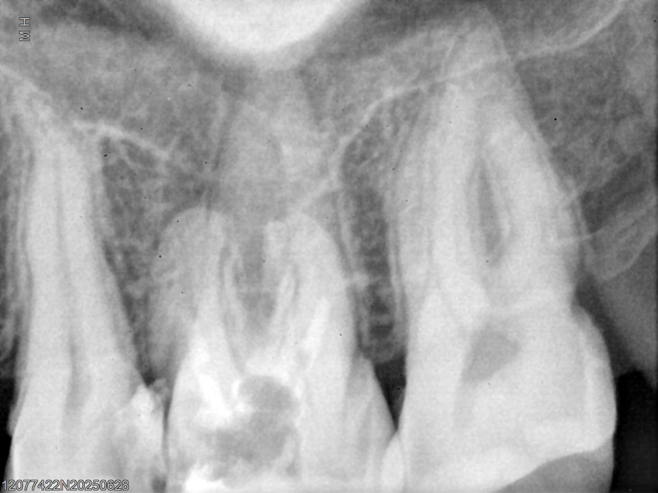
Pre-operative radiograph showing short and inadequate gutta-percha obturation.

Pre-operative radiograph showing short and inadequate gutta-percha obturation.

After removal of previous filling material.

After removal of previous filling material.

Working length determination

Working length determination

Post-operative radiograph confirming complete obturation to the apex.

Post-operative radiograph confirming complete obturation to the apex.

1 / 4

Case Overview: This case involved the non-surgical retreatment of a previously RCT U6 presenting with inadequate obturation. Radiographic examination revealed short and poorly compacted gutta-percha, compromising the apical seal and long-term prognosis.

Clinical Challenge: The main challenge was the complete removal of the old gutta-percha filling material, which was insufficient in length and density, while preserving the original canal anatomy and avoiding procedural errors.

Treatment Approach: The retreatment procedure began with safe access refinement and complete removal of the existing gutta-percha. Thorough cleaning and shaping of the root canal system were performed, ensuring proper working length, apical patency, and effective disinfection.

Outcome: Following adequate canal preparation, the canals were obturated to the correct working length, achieving a dense and well-sealed three-dimensional fill. Post-operative radiographs confirmed optimal obturation and improved apical sealing.